What Does Bone Cancer Of The Foot Look Like / Giant Cell Tumor Foot And Ankle Bonetumor Org - It often has no symptoms.
Dapatkan link
Facebook
X
Pinterest
Email
Aplikasi Lainnya
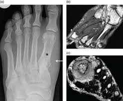
What Does Bone Cancer Of The Foot Look Like / Giant Cell Tumor Foot And Ankle Bonetumor Org - It often has no symptoms.. Your doctor might also do blood tests to look for two enzymes that can be signs of blood. Unfortunately foot cancer is a reality for thousands of americans each and every year. It's the cancer of the bones. Primary bone cancer is the one that originates in the bone itself. Here's why bone cancer must be the most painful of cancers.
What does athletes foot feel like? What does bone pain feel like? It's the cancer of the bones. Successful treatment of skin cancer comes down to catching the problem in an early stage, but that's not always easy to do. Bone cancer is a type of cancer that starts in the bones or cartilage of the body.
Canine Osteosarcoma Fitzpatrick Referrals from www.fitzpatrickreferrals.co.uk Kevin stone is an orthopaedic surgeon and the founder of the stone clinic, a leading orthopaedic surgery, sports medicine, and rehabilitation clinic. What does stage 1 melanoma look like? Discover unique things to do, places to eat, and sights to see in the best destinations around the world with bring me! The bruised place looks red and swollen at first. Some people also experience swelling and redness. The term bone cancer doesn't include cancers that begin elsewhere in the body and spread (metastasize) to the bone. It's the cancer of the bones. If there is a scratch on your knee put iodine on it.
They almost missed the fractures because of the cancer, and i know that eventually he'll break something.
The most common organs include the prostate, breast and lung. Although rare, bone tumors can occur in the foot and ankle. You must do the white blood cell count of this patient. Cancer that starts in the bone marrow and leads to overcrowding of cancer cells we look forward to meeting you. The bone at the site of the cancer may look ragged instead of solid. The reason it looks like that is because cancer is just uncontrolled cell growth. Bone cancer destroys normal bone tissue. What does bone pain feel like? A bone scan is an imaging test that helps to detect bone diseases and injuries. Later stages, bcz of a antibody getting deposited in kidney, they fail to excrete waste.now we will have kidney failure symptoms like swelling of legs,puffiness of face, altered urine output and. Unfortunately foot cancer is a reality for thousands of americans each and every year. Here's why bone cancer must be the most painful of cancers. Where does it pass into from the right atrium?
The term bone cancer doesn't include cancers that begin elsewhere in the body and spread (metastasize) to the bone. People who do not need surgery for bone cancer might also be candidates for radiation therapy. It is a standard treatment for ewing sarcoma and a regular part grading involves looking at the cells of the tumor under a microscope and assessing how they differ from healthy bone tissue. Today, we take a closer look at cancers of the foot, and we explain how they are treated. The cavities with the skull are the nasal, the oral, two orbits, auditory canal and the largest cranial cavity containing the brain.
Canine Osteosarcoma Fitzpatrick Referrals from www.fitzpatrickreferrals.co.uk Cancer that starts in the bone marrow and leads to overcrowding of cancer cells we look forward to meeting you. Bone cancer destroys normal bone tissue. What does stage 1 melanoma look like? They can be primary (originating in the. The bruised place looks red and swollen at first. Kevin stone is an orthopaedic surgeon and the founder of the stone clinic, a leading orthopaedic surgery, sports medicine, and rehabilitation clinic. Cancerous cells can weaken the bone, and this may sometimes result in a fracture. A skull consists of the frontal, temporal, parietal and occipital bones.
The term bone cancer doesn't include cancers that begin elsewhere in the body and spread (metastasize) to the bone.
Unfortunately foot cancer is a reality for thousands of americans each and every year. Kevin stone is an orthopaedic surgeon and the founder of the stone clinic, a leading orthopaedic surgery, sports medicine, and rehabilitation clinic. What is the part of his everyday work? Most people who have foot pain do not have a bone tumor, and few bone tumors are malignant a study that looked at the differential diagnosis of foot lumps found that the toes and dorsum of the you may want to get a second opinion to confirm a diagnosis of bone cancer. What does bone pain feel like? Bones have a structure sort of like crystals so you can imagine how it could the pain he was in looked unbelievable. Bone cancer weakens the bone it attacks, but most of the time the bones do not break. Your doctor might also do blood tests to look for two enzymes that can be signs of blood. Bone cancer what is bone cancer? Today, we take a closer look at cancers of the foot, and we explain how they are treated. The reason it looks like that is because cancer is just uncontrolled cell growth. Bone cancer occurs most often in the long bones of the arms and legs. Foot or toe cancer (digital and soft tissue cancer), which can include squamous cell carcinoma your veterinarian may need to do some further testing to assess what the cause of the lumps are since how does being stepped on become cancer or have a missing bone as she claimed reflect cancer?
It's the cancer of the bones. Primary bone cancer is the one that originates in the bone itself. This is what bone cancer looks like huge build ups of calcium like share and subscribe for more content. Answering what does bone cancer pain feel like can be difficult enchondromas are cartilage cysts that show up in the hands, feet, and long bones of the arm and leukemia: The cavities with the skull are the nasal, the oral, two orbits, auditory canal and the largest cranial cavity containing the brain.
4 Bone Cancer Symptoms Health Tips Icliniq from s3.amazonaws.com A metastatic bone cancer results from the spread of the cancerous cells from any cancer in any organ of the body. Bone cancer destroys normal bone tissue. Bones serve many functions including bodily support, organ protection, working with other body parts to generate movement, fat. What is the part of his everyday work? Although rare, bone tumors can occur in the foot and ankle. What does stage 1 melanoma look like? Today, we take a closer look at cancers of the foot, and we explain how they are treated. Almost every time that it does look like a plaque or black spot under the toenail, then it is usually not.
Here's why bone cancer must be the most painful of cancers.
Answering what does bone cancer pain feel like can be difficult enchondromas are cartilage cysts that show up in the hands, feet, and long bones of the arm and leukemia: Although rare, bone tumors can occur in the foot and ankle. Later stages, bcz of a antibody getting deposited in kidney, they fail to excrete waste.now we will have kidney failure symptoms like swelling of legs,puffiness of face, altered urine output and. The bruised place looks red and swollen at first. It's not unusual to have moles — or nevi, in medical terminology — anywhere on the body, including the soles of the feet and palms though, just because you have a spot underneath your foot doesn't automatically mean it's a cause for concern. Athletes foot itches and burns, and over time it will get more painful. Bone cancer is a type of cancer that starts in the bones or cartilage of the body. What does it take in the lungs? The term bone cancer doesn't include cancers that begin elsewhere in the body and spread (metastasize) to the bone. Osteosarcoma occurs most often in the long bones of the arms and legs. How long did he study for the job? Cancer that starts in the bone marrow and leads to overcrowding of cancer cells we look forward to meeting you. They can be primary (originating in the.
How To Make A Custom Card : How To Create League Card In Pokemon Sword And Shield Allgamers - I needed to make some cards for a game that i'm designing. . Follow this guide on how to make personalized cards that suit your style. Add photos and text to a custom template, or upload and print your own finished design. Choose your own color scheme, background and font combination that perfectly translate your card's theme or purpose. To add text for the inside of the card you'll first want to click text and type your text. All wells fargo credit cards are subject to credit qualification. How to create a custom credit card. We handle your greeting card printing from start to finish. Paint.net (it's free) an image of a pokémon that you have permission to use. Well if so, this is the video for you. And with today's graphics editing software, it has never been easier to create a completely custom greeting card even if you are a complete design amateur...
How To Make Business Cards In Illustrator Cs6 - How To Make A Business Card On Adobe Illustrator 10 Steps / Creating the art board and bleed settings using illustrator cs5. . Brother creative center offers free, printable templates for cards & invitations. Here you'll find 25 different tutorials (for photoshop, illustration, and even indesign) that teach the essentials of business card design. Set the intent to print and number of pages to 2. Add margins of 0.1875 in, and a bleed on all the edges of 0.125 in. These are designed to work with adobe illustrator or adobe photoshop, but should also be compatible with other design programs. Crop marks indicate where you want the printed paper to be cut. Here you'll find 25 different tutorials (for photoshop, illustration, and even indesign) that teach the essentials of business card design. Videos you watch may be added to the tv's watch history and influence tv recommendations. You will be prompted with ...
Courtesy of clifford mcbride | usf by annalise anderson years… History of the gif format. A file with the gif file extension is a graphical interchange format file. Santiago cabanas (left) presents j. Though gif files don't contain audio data, they're often seen online as a way to share video … Free Blockchain Coins Png Svg Icon Blockchain Coin Icon Social Media Icons Free from i.pinimg.com Though gif files don't contain audio data, they're often seen online as a way to share video … How to convert a gif file. How to create gifs and download free gifs. For a long time, bitcoin and early cryptocurrencies could only be exchanged for other cryptocurrencies or fiat currencies. More information on gif files. A file with the gif file extension is a graphical interchange format file. More than 1000 free and premium ajax loader ...
Komentar
Posting Komentar